Case Report | DOI: https://doi.org/BRCA-CR-25-016.
Ebstein’s Anomaly and Echocardiographic Features
Abstract
Aim: To present the various echocardiographic spectrum of Ebstein’s malformation in adolescence and adults.
Introduction: Ebstein’s anomaly has different anatomic and hemodynamic variables with clinical manifestations of cyanosis, right-sided heart failure and arrhythmias. The leaflet tethering and dysplasia, together with dilatation of the tricuspid valve ring, constitute the anatomic cause of tricuspid regurgitation observed in this condition.
Case reports: The spectrum of leaflet tethering from mild to extreme with varying degrees of tricuspid regurgitation were documented by echocardiography in a 16-year old cyanotic male with Ebstein’s anomaly associated with an atrial septal defect and mild low tricuspid regurgitation (TR), 22-year old acyanotic male with right-sided heart failure due to severe tricuspid regurgitation and an intact atrial septum, 55-year old aymptomatic female with moderate high tricuspid regurgitation. The extreme form was described as an ‘atretic’ membrane in a 28-year old cyanotic male and as a ‘blanket’ of leaflet tissue in a 30-year old cyanotic male.
Conclusion: Ebstein’s anomaly has to be suspected clinically in presence of cyanosis with a WPW (Wolf-Parkinson-White) or atrioventricular (AV) block pattern of ECG and its management is complex and must be individualized. RV (right ventricular) exclusion procedures are preferred in advanced cases.
Introduction
Ebstein’s anomaly is a disease of the entire right ventricle. It is a spectrum of abnormalities, characterized by apical displacement of the valve, anomalous distal attachment of the leaflets, size of the functional right ventricle and degree of tricuspid regurgitation, with alteration in the left ventricle as well. It occurs with a prevalence of about 0.3 to 0.7% among patients with congenital cardiac disease [1] and most cases occur sporadically with an equal distribution between males and females. The anatomical hallmark of this entity is the apical displacement of the attachments of septal and posterior leaflets of the tricuspid valve. The displaced tricuspid valve divides the right ventricle into two parts. The inlet portion is usually integrated functionally with the right atrium (“functional” atrialization) and the apico-trabecular and outlet portions constitute the functional right ventricle. The proximal atrialized ventricle has a thinner wall due to partial absence of myocardium and described as “anatomical” atrialization.
In 1988, Carpentier, et al proposed a classification of Ebstein’s anomaly based on the morphology of right ventricle and tricuspid valve as shown in Table 1 [2].

The essence of the Ebstein’s malformation is the fact that the tricuspid valve leaflets do not attach normally at the tricuspid annulus [3]. The degree of displacement is variable and in one-third of all cases, the leaflets are adherent to the ventricular wall (“plastered down”) rather than truly displaced and so these cases had been reported.
Case Reports
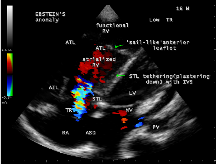
Case 1 (16-year-old cyanotic male with Ebstein’s anomaly) A 16-year-old male presented with cyanosis and he had features of an atrial septal defect such as wide, fixed splitting of second heart sound at left second intercostal space and a grade 2/6 systolic murmur at the lower left sternal border. 2D echocardiography revealed the features of Ebstein’s anomaly such as tethering of septal tricuspid leaflet (STL) to the ventricular wall associated with an ostium secundum type atrial septal defect (ASD) and low mild tricuspid regurgitation jet as shown in Figures 1 to 3



The patient was advised definite repair with closure of the atrial septal defect.
Case 2 (22-year old acyanotic male with Ebstein’s anomaly)
A 22-year old acyanotic male was presented with features of right heart failure and a grade 3/6 systolic murmur at lower left sternal border. 2D echocardiography revealed a normally attached septal tricuspid leaflet (STL), but tethered to the ventricular wall suggesting an Ebstein’s anomaly with severe tricuspid regurgitation swirling around the lateral wall of right atrium and interatrial septum, and a dilated atrium and atrialized RV (right ventricle) as shown in Figures 4 to 8.





The patient was treated with antifailure measures such as digoxin and diuretics and advised definite repair (Tricuspid valve replacement with right atrial reduction atrioplasty along with plication of atrialized RV (right ventricle)
Case 3 (55-year old female with Ebstein’s anomaly)
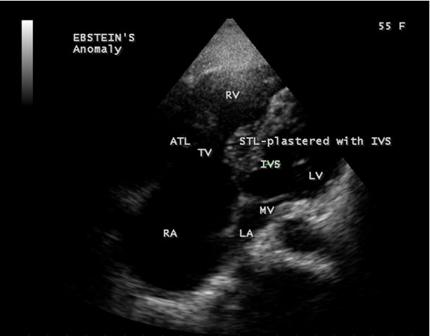
A 55-year old asymptomatic, acyanotic female, given birth to three children, presented with grade 2/6 systolic murmur at the lower left sternal border. 2D echocardiography revealed a septal tricuspid leaflet tethering and a high moderate tricuspid regurgitation as shown in Figures 9 and 10 suggesting an Ebstein’s anomaly.



The patient was advised periodic follow up since she was remaining asymptomatic.
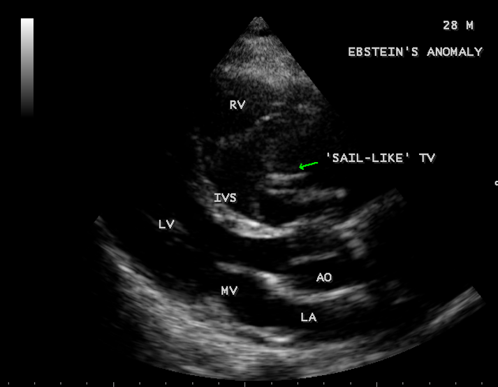
Case 4 (28-year old male with Ebstein’s anomaly)
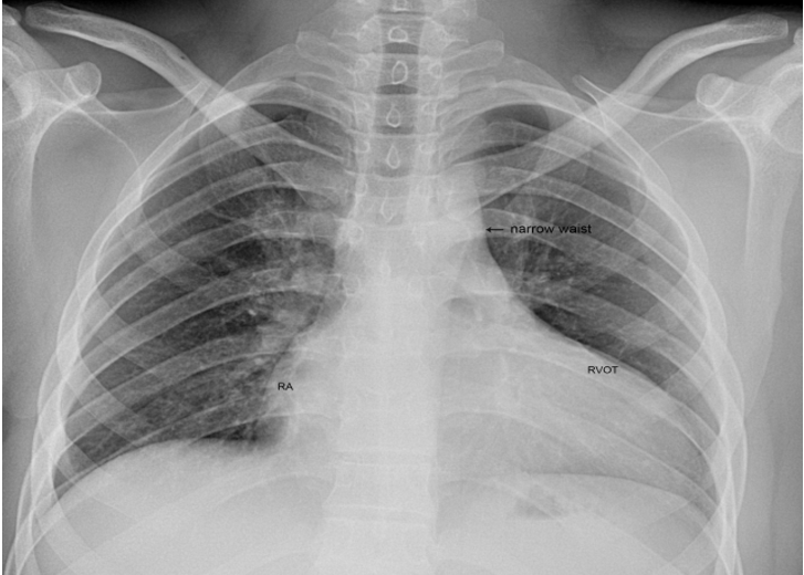
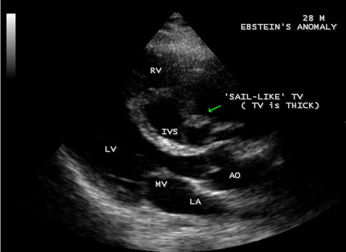
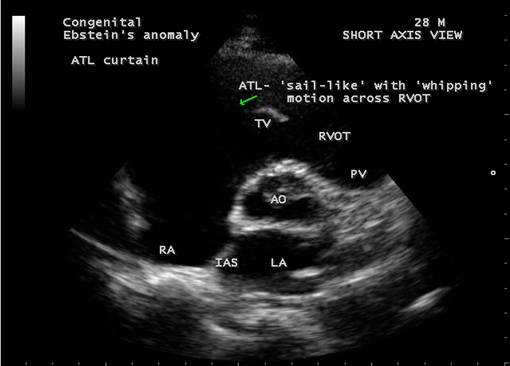
A 28-year old male presented with cyanosis and auscultation revealed a ‘sail sound’ ( loud tricuspid component of first heart sound due to increased tension developed by the large anterior leaflet as it reaches the limits of its systolic excursion- an important sign of anterior leaflet mobility), a ‘cadence’ quality of quadruple rhythm due to wide splitting of first and second sounds ( due to complete right bundle branch block), atrial and ventricular filling sounds (summation of these sounds due to prolonged PR interval). ECG revealed the features of Ebstein’s anomaly as shown in Figures 11 and 12. X-ray chest revealed the Ebstein’s configuration as shown in Figure 13. 2D echocardiography revealed a ‘sail-like’anterior tricuspid leaflet forming a ‘muscular curtain’ in between the inflow and trabecular parts of the right ventricle as an ‘imperforate membrane’ with a ‘pinhole’communication, associated with a muscular VSD (ventricular septal defect) in the proximal, atrialized compartment of right ventricle suggesting an ‘atretic” (‘imperforate’) Ebstein’s anomaly as shown in Figures 14 to 27.

















The patient was advised Starnes’ procedure along with Kay annuloplasty and a pacemaker implantation onto left ventricular endocardium.
Case 5. (30-year old cyanotic male with Ebstein’s anomaly)
A 30-year old male was presented with marked cyanosis and no murmur and abnormal heart sounds on auscultation. 2D echocardiography revealed the features of Ebstein’s anomaly such as insertion of anterior leaflet into the trabeculated RV, forming a ‘blanket’ of leaflet tissue across the inflow and trabecular parts and bulging of ventricular septum towards leftward due to marked dilatation of RV, and LV became ‘banana’ shaped as shown in Figures 28 to 30.



The patient was palliated with bidirectional Glenn shunt and advised periodic follow up for an RV exclusion procedure.
Case 6. (12-year old male with inverted Ebstein’s anomaly)
A 12- year old, asymptomatic boy was presented with features of an inverted Ebstein’s anomaly on routine echocardiographic screening as shown in
Figure 31 and the boy was advised periodic follow up.

The boy was advised penicillin prophylaxis (oral penicillin V 250 mg twice daily) and periodic follow up.
Discussion
Review of literature Ebstein’s anomaly was initially described by Wilhelm Ebstein at All-Saints Hospital in Breslau (now Wroclaw), Poland in the autopsy findings of a 19-year old cyanosed laborer, Joseph Prescher who died with a severe malformation of tricuspid valve in July 1864 [7],[8]. The eponym “Ebstein’s disease” was coined by Arnstein in 1927 [9]. Yater and Shapiro described the radiologic and echocardiographic features of Ebstein’s anomaly in 1937 [10]. Tourniaire, et al diagnosed this anomaly in a living in 1949 and Engle asserted the clinical recognition of Ebstein’s anomaly in 1950 [11]. Edwards emphasized the continuity of muscles between the atrium and the “atrialized” right ventricle across the atrioventricular ring in 1979 [12].
Etiopathogenesis The exact embryology of Ebstein’s anomaly is unknown since the normal tricuspid valve is believed to be formed by a process of either ‘delamination’ of the inner layer of the inlet zone of right ventricle [13],[14] or ‘undermining’[15]. During cardiac embryogenesis, the process of valve formation is completed by the 12th week of gestation and the development of septal tricuspid leaflet is not complete until the 16th week and the valves are better delineated in the second and third trimester.
In Ebstein’s anomaly, “delamination” fails to occur, resulting in downward displacement of the origin of septal and inferior leaflets and the antero-superior leaflet is mostly ‘sail-like’, but still attached to its usual atrioventricular junction line and the mechanism for this is not entirely understood [16].
The leaflets of the tricuspid valve develop equally from the endocardial cushion tissue and myocardium. Endocardial cushion tissue lines the right atrioventricular junction and acts as an adhesive to maintain the integrity of that portion of the subjacent myocardium which forms the tricuspid valve apparatus. Expansion in the size of right ventricular inflow tract occurs by a process called “undermining”. The subendocardial portion of the ventricular free wall becomes fenestrated and spongy since the resorption of the myocardium progressively dissolves the wall and thereby enlarges the chamber size. Undermining and resorption produce a flap-like muscular skirt that is attached at the annulus and is anchored to the underlying ventricular wall by numerous branching pillars of myocardium. Progressive thinning and fibroblastic ingrowth result in the formation of tricuspid valve leaflets as anterior leaflet forms much earlier and it is not adherent to the right ventricular wall. The late forming septal and posterior leaflets remain adherent to the underlying myocardial wall and thus, Ebstein’s malformation is thought to occur as a result of incomplete undermining of the right ventricular myocardium [17].
Most cases of Ebstein’s anomaly are sporadic and familial incidence is rare [18]. There is some dysregulation of molecular and morphological events involved in the process of connection between the future right atrium to the developing right ventricle and monogenic as well as oligogenic factors play a role in its driving pathogenesis in animal models [19]. Rare cases of cardiac transcription factor NKX 2-5 mutation [20], 10p13-p14 deletion [21] and Ip34.3-36.11 deletion [22] have been described in the anomaly. Maternal exposure to benzodiazepins [23] and lithium carbonate therapy [24],[25],[26] can rarely lead to Ebstein’s anomaly in the offspring.
Morphological features
The malformation documented by Ebstein at autopsy consists of an abnormal insertion of the tricuspid valve, the septal and posterior leaflets were adherent to the ventricular wall and the mobile free parts were displaced towards the apex of the right ventricle. The two anatomic features, i.,e., valve displacement and leaflet morphology vary independently and its pathology is not uniform.
Apical displacement was determined as the distance between the anticipated normal basal attachments of the leaflets and the right ventricular apex. The degree of displacement was classified by Becker in 1971 as shown in Table 2 [27]

The intrinsic abnormality of the tricuspid valve leaflets is generally categorized as “dysplasia” and it usually affects all leaflets with varying degrees as shown in Table 3 [28], mostly the anterior leaflet, often with displaced leaflets and sometimes, occasional [29].

Apical displacement always affects the septal leaflet and also involves the posterior leaflet. The leaflets are not displaced beyond the junction between the inlet and trabecular parts of the right ventricle and the point of maximum displacement is usually at the commissure between the two leaflets. The spectrum of leaflet tethering varies from mild to extreme. The degree of dysplasia is also categorized as I to III as shown in Table 4.

When chordae are absent, the free leaflets insert directly into the ventricular wall. In some cases, the greater part of the affected leaflets is firmly adherent to the right ventricular wall, drape the apical trabeculations and completely blended with ventricular wall. The communication between the atrialized and functional right ventricle is confined to slits or perforations in the anterior leaflet as Ebstein originally described. When the anteromedial commissure is fused and the anterior leaflet is intact, the tricuspid orifice is “imperforate” [30] and it occurs in 10% of hearts with Ebstein’s anomaly. In ‘imperforate Ebstein’s anomaly”, the septal, inferior and antero-superior leaflets may fuse either completely or in part, so that the inner surface of the inflow part of the right ventricle is formed by a “blanket” of dysplastic valve tissue towards the apex. The leaflets are said to be “plastered” out of the right ventricular myocardium, so that the fibrous transformation of the leaflets from the muscular precursors remain incomplete. . In severe cases, the leaflets are thickened, focally muscularized and attached to the underlying myocardium by numerous muscular stumps. In extreme cases, the fusion of leaflet tissue is so complete as a membrane-like continuum and the only identified remnants of leaflet tissue are nodular fibrous ridges at the level of the displaced functional annulus. In this setting, the entire inflow tract is atrialized and the functional right ventricle consists only of trabecular and outflow (infundibulum) components. The designation of “atretic“ Ebstein’s malformation was documented by Kumar [31] to the imperforate fused tricuspid valve and its incidence becomes even higher to 29% with an inclusion of “pinhole” communication {32}.
Echocardiographic features Echocardiography is the diagnostic test of choice for Ebstein’s anomaly and the first echocardiographic diagnosis was reported by Lundstrom in 1969. The first diagnostic criteria for Ebstein’s anomaly using a multi-crystal two-dimensional system was defined by Hagan in 1974 [33] and they were able to recognize the apical displacement of the septal tricuspid leaflet and an elongated anterior tricuspid leaflet with increased excursion. The septal leaflet of the tricuspid valve attaches chiefly to the ventricular septum , but part of its basal attachment is to the posterior wall of the right ventricle [34] and it normally exhibits a slight but distinct apical displacement of its basal attachment to the central fibrous body compared to the mitral valve. The distal displacement of septal origin of tricuspid valve seems to be the best echocardiographic criterion as the characteristic sign for Ebstein’s anomaly and the degree of maximal displacement in normal hearts varies considerably with a mean difference of approximately 6 mm with mitral valve. To define the anatomic severity of Ebstein’s anomaly, four-chamber view is the best to demonstrate the apical displacement of septal tricuspid leaflet [35]. The ratio between the mitral-to-apex distance and the tricuspid-to-apex distance varies from 1 to 1.2 in normal subjects and 1.8 to 3.2 in patients and it is 3.6 as in Figure 18 with Ebstein’s anomaly. The true distance in the level of insertion of atrioventricular valves is obtained by substracting the tricuspid-to-apex distance from the mitral-to-apex distance with a mean value of 27.25 ± 12 mm in patients with proven Ebstein’s anomaly and it is 60 mm as shown in Figure 18 compared to reference group (5.7 ± 2 mm). Kambe and coworkers calculated the distance between both atrioventricular valves directly as a mean value of 21 mm with a range of 14 to 32 mm [36]. A maximum difference in the level of valve insertion of >15 mm in children and >20 mm in adults is discriminated between normal and Ebstein’s anomaly [37],[38]. Despite this fact, a patient with an ‘unequivocal’ Ebstein’s malformation can be encountered in whom the diagnosis cannot be made with certainity solely on the basis of apical displacement of the septal tricuspid valve leaflet. Occasionally, the leaflet attaches to the trabecular part rather than the inlet part of the septum, the conventional four-chamber view will not reveal any septal insertion as shown in Figures 28 and 29.
The anterior tricuspid leaflet is not involved in the process of downward displacement, it may be abnormally inserted occasionally and Shiina, et al documented the apical displacement of anterior tricuspid leaflet in 14% of cases echocardiographically [39]. The anterior leaflet forms a large, sail-like intracavitary curtain as in Figures 14, 25 and contains muscular strands instead of consisting entirely of a fibrous membrane as in the normal tricuspid valve [40]. It is potentially mobile with a brisk sail-like movement as shown in Figure 21 to 24 [41], free bloating with a ‘whipping motion’ across the right ventricular outflow tract (RVOT) as shown in Figure 26 and in some cases, the movement is restricted due to its adherence to the ventricular wall as in Figure 1 and 2, 4 and 9. It is often fenestrated, may in part be musculaized , inserting into the trabeculations of the right ventricle (RV) as in Figure 28 and rarely, the anterior leaflet forms an ‘atretic’ membrane that spans the midportion of the right ventricular cavity as in Figure 16.
In severe cases, the inferior wall of the right ventricle may consists soley of thin fibrous tissue, devoid of myocytes and thereby represent an area of aneurysmal dilatation as in Cases 2 (Figure 8) and 3 (Figures 20 and 24). It is apparently due either to slippage of right ventricular inflow tract away from the right atrioventricular junction or to focal excessive ‘undermining’ to myocardium, transmurally to the level of epicardium. A large atrialized area causes a severe reduction in the volume of the right ventricular pumping chamber and usually produces an abnormal configuration of muscular interventricular septum, which bulges leftward and thereby compresses the left ventricular chamber, resulting in reversal of ventricular shapes with a ‘circular’ right ventricle and a ‘banana’ [42] or ‘crescentic’ [43] left ventricle as shown in Figures 29 and 30 Thus, the proximal component of the right ventricle, the ‘inlet portion’ is the part directly involved with the malformation and the distal apico-trabecular and outlet portions that constitute the ‘functional right ventricle’, which is not involved and may be of normal size, but usually markedly diminished in dimensions and in some cases, it is dilated and thin walled.
The tricuspid orifice is typically incompetent as in Figures 3, 5 and 10, occasionally stenotic, and rarely imperforate as in Figure 16 [44],[45]. The true anatomic tricuspid annulus occupies its normal position at the right atrioventricular junction and it is less well defined than in a normal heart. The annulus tends to be appreciably dilated and contribute to the development of valvular incompetence. In extreme downward displacement of posterior and septal leaflets, the closure of the tricuspid annulus depends on the size and potential excursion of anterior leaflet. When the chordal attachments are short and the leaflets contain multiple or large fenestrations, adequate valve closure is impossible to achieve and varying degrees of regurgitation results. Color flow imaging and Doppler interrogation can establish the relatively low velocity regurgitant flow as in Figure 6, which begins at the level of the displaced septal and posterior leaflets as in Figures 5 and 10 and courses through the atrialized right ventricle into the right atrium proper as shown in Figure 5. Tricuspid regurgitation increases by annular dilatation [46]. During contraction of the atrium, the atrialized portion of the right ventricle balloons out and acts as a passive reservoir. Functional improvement of right ventricle depends on the severity of tricuspid regurgitation and on the ratio of the combined areas of right atrium and atrialized right ventricle relative to the areas of functional right ventricle and left ventricle [47]. Celermajer, et al described an echocardiographic grading score for neonates with Ebstein’s anomaly as shown in the Table 5 [48].

The functional impairement of right ventricle and regurgitation of tricuspid valve retard the forward flow and the overall effect is right atrial dilatation as shown in Figure 4. In many cases, the right atrial enlargement is extensive, but the mural thrombus is not a feature even in right ventricular dilatation. The enlarging right atrium becomes sufficiently compliant to accomodate a large volume of regurgitant flow with little or no increase in pressure as shown in Figure 6., In patients with marked Ebstein’s malformation and severe tricuspid regurgitation, liver and portal circulation are extensively affected, congestive hepatosplenomegaly and microscopic hepatic fibrosis eventually occurs in chronic cases with hypersplenism [49].
An interatrial communication is present in 80 to 94% of patients with Ebstein’s anomaly [50]. Ebstein believed that “regurgitation of blood into the right atrium caused its dilatation and prevented complete closure of the valve of foramen ovale”. The majority of hearts with Ebstein’s anomaly have a patent foramen ovale (67%) and in more than one third of cases, the interatrial communication is an ostium secundum defect as shown in Figures 1 and 2 . An intact atrial septum is rare and usually seen in adults as in Figure 4. The ventricular septal defect may be localized in either the proximal as shown in Figure 19 or the distal right ventricular compartment and it can be muscular with an incidence of 4% in clinical series and 12% in autopsy studies. The hearts in which the opening is proximal to the displaced tricuspid valve, a left ventricular to right atrial shunt may occur as shown in Figure 20
Left-sided Ebstein’s anomaly
Ebstein’s anomaly of inverted tricuspid valve has been described in 15 -50% of cases of congenitally corrected transposition of great arteries [51] as in Figure 31. The anterior leaflet of inverted Ebstein’s anomaly is usually small, malformed and the atrialized inverted right ventricle is poorly developed, not thinned and rarely dilated [52]. The posterior wall of the inflow tract of the right ventricle is normal in inverted Ebstein (discordant atrioventricular connection)[53] and it is always abnormal in Ebstein’s anomaly of concordant connection in which the myocardium is replaced by fibrous tissue to variable degree. Rarely, a morphologic mitral valve (mMV)- right sided inverted mitral valve has anatomic features of Ebstein’s anomaly [54]. The leaflets tend to be thickened and even dysplastic in appearance [55]. Ebstein’s – like anomaly can also affect a normally positioned mitral valve as shown in Figure 32, although this is exceedingly rare, first reported by Rusahhaupt, et al in 1976 [56] and its embryologic origin is obscure [57]. The left atrioventricular valve incompetence is not necessarily caused by an Ebstein-like malformation, may be congenital and it is due to rheumatic involvement in this case. The anterior mitral leaflet (the aortic leaflet of mitral valve) is not particularly redundant, and its annulus inserts along the septum normally without downward displacement (offsetting). The normal ‘offsetting’ of the mitral and tricuspid valve is maintained in the four-chamber view [58]. Only the posterior leaflet, attached to the left ventricular free wall, is involved in downward displacement. Cases have also been reported in which both the mitral and tricuspid valves were involved by Ebstein’s malformation [59],[60].
Management
The treatment plan for Ebstein’s anomaly is individualized since the hemodynamic abnormality vary considerably with the extent of tricuspid valve displacement into the right ventricle.
Medical therapy
In neonates, the disease process is much different and have a rapidly deteriorating course with severe heart failure, cyanosis and acidosis. If congestive cardiac failure is prominent, infants may require initial support with inotropic agents and long-term anticongestive measures with digoxin and diuretics. The efficacy of angiotensin-converting enzyme inhibitors in patients with Ebstein’s anomaly having right-sided heart failure is unproved and they are not recommended, including angiotensin-receptor blockers (ARBs) and β-blockers, because these drugs may increase pulmonary artery pressure, triggering further heart failure and pulmonary edema [61]. The standard heart failure therapy may be reserved for those patients who are not candidates for surgery.
In newborn infants whose primary problem is that of cyanosis, treatment may be limited to careful observation awaiting its resolution when pulmonary vascular resistance decreases. In early neonatal period, maintanance of the patency of ductus arteriosus is necessary with prostaglandin E1 to ensure adequate pulmonary blood flow.
Occasionally, arrhythmias with or without associated Wolf-Parkinson-White syndrome will be dominant in infants. Treatment is directed primarily towards delaying conduction through the AV node with class I antiarrhythmic agents (quinidine, procainamide, flecainide).
Interventional therapy
Downward displacement of the septal tricuspid leaflet is associated with discontinuity of the central fibrous body and the septal atrioventricular ring, creating a potential substrate for accessory pathways and preexcitation. The atrialized right ventricle contains right ventricular muscle fibers, which can provoke polymorphic ventricular tachycardia [62],[63] that rapidly degenerate into ventricular fibrillation since the isolated islands of myocytes cannot anchor reentrant spiral/scroll waves which break up immediately.
“Electrical instability” due to ventricular preexcitation (5 to 25% [64] or 20 to 30%) of cases with supraventricular reentrant tachyarrhythmias (the most frequent rhythm disorder –AVNRT (1to 2%)) or to atrial flutter or fibrillation due to progressive right atrial dilatation is the main clinical problem. The risk of sudden death is high due to adverse association of atrial fibrillation and preexcitation (uniformly via a right bypass tract - Type B Wolf-Parkinson White) in asymptomatic individuals.
Catheter ablation is difficult due to right atrial dilatation, atrioventricular ring distortion and large continuity of muscle in between the atrium and ventricle. Poor outcomes are mostly attributed to the presence of broad/multiple accessory pathways caused by faulty formation of the insulating tissues at the atrioventricular junction located around the orifice of the malformed tricuspid valves {65] and it can be ablated at the time of operative repair [66],[67] or valve replacement [68],[69]. More recently, catheterization techniques have been developed to ablate accessory pathways with the use of radiofrequency current [70], but the success in patients with Ebstein’s anomaly is not yet as high as in patients with structurally normal heart. Complete heart block is rare in Ebstein’s anomaly, but first-degree atrioventricular block as shown in Figure 11 occurs in 42% of patients due to right atrial enlargement and structural abnormalities of the atrioventricular conduction system. Permanent pacing is required for 3.7% of patients with Ebstein’s anomaly [71].
Selective right-sided cryo-ablation-Maze procedure may be done for patients with documented paroxysmal flutter or inducible atrial arrhythmias.
Surgical therapy
Surgical options in Ebstein’s anomaly depend on specific circumstances and the goal should be to palliate for optimum survival, accomplished with valvuloplasty, Valve repair or replacement and right ventricular (RV) exclusion procedures.
Valvuloplasty It is favoured if the anterior leaflet is suitable for use as a functional monocuspid valve. The leaflet must exhibit adequate excursion and be free of large fenestrations. If the leaflet is ‘sail-like’ and free and when the tricuspid annulus is markedly dilated, an aggressive “Kay annuloplasty” is preferred as for case 4.
Tricuspid Valve repair A large mobile anterior leaflet with a free leading edge is favourable for valve repair and valve reconstruction was possible in 34.4% of patients with Ebstein’s anomaly. The repair of tricuspid valve was reported in two patients in 1959 and both died [72]. Depending on the variants encountered in the anatomy of Ebstein’s anomaly, various modifications in the tricuspid valve repair have been incorporated [73]. Carpentier, et al, proposed a repair that used the mobilization of the anterior leaflet of the tricuspid valve for type B and C categories as for cases 1 to 3. Temporary detachment of the anterior leaflet and adjacent part of the posterior leaflet was followed by longitudinal plication of the atrialized ventricle and adjacent right atrium, reposition of anterior and posterior leaflets to cover the orifice area at the normal level, and remodeling and reinforcement of the tricuspid annulus with a prosthetic ring. By this procedure, early mortality was 9% and late survival rate at 20 years was 82% ± 5%. The devitalized tricuspid valve related to reattachment may develop problems, which is unclear. Current repair usually involves bringing the anterior papillary muscle towards the ventricular septum and facilitating coaptation of the leaflet edge of the anterior leaflet. An anteroposterior tricuspid purse-string annuloplasty with a plication of atrialized right ventricle or resection is performed selectively, which results in tricuspid valve repair at the level of functional annulus, in contrast to the original repair, which brought the functional annulus up to true annulus by reduction atrioplasty as for case 2 [74]. The reduction atrioplasty is performed at the time of tricuspid valve surgery when the right atrial enlargement is extensive. The right coronary artery demarcate the level of true annulus and may become kinked during plication annuloplasty procedures [75], results in acute infarction of inferoseptal wall of left ventricle and inferior wall of right ventricle.
Biventricular repair (Knott-Craig approach) If there is moderate to severe TR and an adequate sized functional RV, then a complete biventricular repair (Knott-Craig approach) may be considered as for case 2. In this method, the tricuspid valve is repaired and the atrial septal defect is partially closed. A RV to PA valve conduit is used along with tricuspid valve repair and currently, valve repair is preferred over valve replacement whenever feasible in Ebstein’s anomaly
Definite repair For older patients with persistent cyanosis or congestive cardiac failure, definite repair can be considered. Tricuspid valve replacement along with plication of some part of the atrialized right ventricle and closure of the atrial septal defect is recommended mostly as for case 1 Valve replacement may be done either a bioprosthetic (preferred) as for case 2 or mechanical valve. A regurgitant tricuspid valve was successfully replaced in Ebstein’s anomaly as a first time in 1962 [76].
Ventricularization It is the reintegration of the atrialized chamber into the right ventricular cavity, which can be obtained by orthopic transposition of the detached septal and posterior leaflet of the tricuspid valve. The reimplanted septal leaflet serves as an opposing structure for the coaptation of the reconstructed atrioventricular valve [77].
Cone reconstruction When there is greater than 50?lamination of the anterior leaflet and a usable posterior leaflet, cone reconstruction is a preferred technique and it is closest to an “anatomic repair” [78]. In this procedure, all attachments to body of leaflet may be cut, but the attachments to the free edge must be left intact. When the leaflet edge is attached to the myocardium, fenestrations are performed to help free the leaflet and the height of the fenestration is typically one-fourth to one-third the distance from the leaflet edge. Care must be taken to avoid injury to the thinned underlying right ventricle (RV).. The section of RV that usually needs to be remodeled includes the acute margin near the diaphragmatic surface and the goal of plication is to reduce the volume of the ventricle as well as removing akinetic and dyskinetic regions to improve efficacy. It also reduces the distortion of the papillary muscles and primary chordal attachments , which contribute to recurrent TR [79].
Right Ventricular Exclusion procedures (univentricular approach) The significant leaflet tethering, i.,e., adherence of the edge or body of the leaflet to the underlying endocardium, makes the successful repair more difficult. The presence of a dilated right-sided pumping chamber (the functional RV) is also considered as an ominous sign, usually impairing the surgical results.
RV exclusion approach was first reported by Starnes and associates in 1991. The procedure included patching of the tricuspid valve and a modified Blalock-Taussig shunt. RV exclusion procedure should be indicated for the more severe end spectrum where there is diminutive true RV, highly laminated leaflet tissue and a marked dilatation of right ventricle impinging on the left ventricular function as for cases 4 and 5. The RV exclusion technique decompresses the right side, allow the left ventricle to function more effectively and decrease the incidence of atrial arrhythmias by eliminating the right atrial enlargement. RV exclusion with a fenestrated tricuspid valve patch and a systemic-to-pulmonary shunt provide an effective palliation for neonates presenting with critical Ebstein’s anomaly who had a poor outcome, but with an adequate LV size. In patients with small RV and mild TR, A modified Blalock-Taussig shunt (mBTS) is preferred. If there is moderate to severe TR and the functional RV is small, then a fenestrated RV exclusion (Starnes’ procedure) should be performed. The Starnes’ procedure consists of a patch closure of the tricuspid valve orifice, enlarging the interatrial communication and placing a systemic-to-pulmonary artery shunt. This approach is particularly helpful in patients who also have an anatomic right ventricular outflow tract obstruction. The total RV exclusion is a modification to Starnes’ procedure, proposed by Sano and associates, in which the free wall of the right ventricle is resected and closed primarily with a polytetrafluro ethylene patch and it acts like a large RV plication.
Few patients may undergo a successful valve repair and also a potential for one and half ventricular repair after palliation by RV exclusion. The downside of RV exclusion procedure is a commitment to the single-ventricle Fontan pathway. In very severe cases, with massive right ventricular dilatation and dysfunction, the Fontan procedure may be applicable. Conversion to a single-ventricle approach for symptomatic neonates also had been advocated [80]. In patients with almost imperforate Ebstein’s malformation of the tricuspid valve, a modified Fontan procedure is advised, but it is very rarely required after infancy.
Chauvaud suggest that a paper thin right ventricular wall is an indication that a Glenn shunt might be needed [81]. When the right ventricle is markedly dilated and functioning poorly, a bidirectional cavopulmonary shunt may be used after tricuspid valve repair or replacement to reduce the RV volume overload in selected patients with nonneonatal Ebstein’s anomaly.
For severe cases of Ebstein’s anomaly associated with left-sided obstructive lesions, transplantation should be considered. However, heart transplantation is rarely necessary in the current era because of improved results with Knott-Craig and Starnes’ approaches in the most severe forms of Ebstein’s anomaly [82].
Outcome
The clinical course of Ebstein’s anomaly ranges from intrauterine death to asymptomatic survival into late adulthood. The outlook for fetal Ebstein’s anomaly has been aptly characterized as “appalling” [83]. Neonates confront a high risk of mortality and later death if they survive infancy. Transient neonatal cyanosis that recurs a decade or more later is an occasional and distinctive feature of Ebstein’s anomaly. The prognosis for infants born with Ebstein’s anomaly is ever changing. Early reports described a 10 to 20% mortality during the first year of life without surgical interventions and poor outcomes were those associated with severe tricuspid valve displacement and dysfunction and increased cardiothoracic ratio (>0.65). For those who had surgical treatment, 54% did not survive after operation. The actual survival rate for all live-born with Ebstein’s anomaly is 67% at one year and 59% at 10 years. With application of newer surgical techniques, improved results have been documented in recent series [84].
Besides the fact that patients with milder form of the disease can live well into adulthood, woman become pregnant and deliver normal term infants in most cases [85]. There is an astonishing longevity noticed in patients with Ebstein’s anomaly with a survival into eighth and nineth decades [86]. The oldest recorded patients with Ebstein’s anomaly lived to 85 years, without cardiac symptoms until the age of 79 years [87].
Case Analysis
Ebstein’s original case was an example of obstruction at the tricuspid orifice by a membrane dividing the right ventricle into two halves as shown in Figure 16 of a 28-year old cyanotic male with ECG and X-ray characteristics as in Figure 11 to 13. suggesting an advanced spectrum of Ebstein’s malformation , necessitating RV exclusion techniques such as Starnes’ procedure. The florid case of Ebstein’s anomaly with the insertion of leaflet tissue along with ventricular walls as a ‘blanket’ as in Figures 28 and 29 in a 30-year old cyanotic male may go for an initial palliation with bidirectional Glenn shunt (cavopulmonary anastomosis). The other variants of moderate degree of leaflet tethering with varying degrees of regurgitation, but an intact basal leaflet attachments with atrioventricular junction as in Cases 1 and 2 may need a definite repair. In Ebstein’s mitral valve as in Figure 32 in a 10-year old boy, the downward displacement of functional annulus > 0.8 cm/m2 is not particularly striking and tends to affect the septal leaflet (anterior mitral leaflet) alone. The valve is thickened and mildly regurgitant due to rheumatic involvement rather than an anatomic cause.
On follow-up, cases 1 and 2 showed no further deterioration and cases 3, 6, 7 remain symptomatic. Cases 4 and 5 are referred to surgical interventions.
Conclusion
Ebstein’s anomaly is a rare congenital heart defect occurring in 1 in 20,000 live births in general population. [88] and in neonatal Ebstein’s anomaly, the cardiac silhouette may fill the entire chest (“wall to wall” heart) in chest X-rays [89]. The spectrum of malformation in Ebstein’s anomaly may range from only minimal displacement of the septal and posterior leaflets to an imperforate membrane or a muscular shelf between the inlet and trabecular zones of the right ventricle were documented by echocardiography and various treatment options were described in this spectrum.
References
-
Simcha,A., Bonham-Carter, R.,E.,(1971) Ebstein’s Anomaly. Clinical Study of 32 Patients In Childhood, British Heart Journal, 33, 46.
View at Publisher | View at Google Scholar -
Morgan,L. Brown, Joseph A. Dearani(2016) Ebstein’s Anomaly, Chapter 130, Thoracic Key
View at Publisher | View at Google Scholar -
Ligtvoet-Gussenhoven,W.,J.,(1984) Echocardiography In Ebstein’s Anomaly. Thesis. University of Rotterdam.
View at Publisher | View at Google Scholar -
Bialostozky,D.,Medrano,G.,A.,Munoz,L.,Contrera,S.,(1972)Vectorcardiographic Study And Anatomic Observations In 21 Cases of Ebstein’s Malformation of The Tricuspid Valve, American Journal of Cardiology, 30,354.
View at Publisher | View at Google Scholar -
RAMA CHANDRAN (2018) Ebstein’s anomaly- “sail-like” motion, January, 3. https://youtu.be/-3LFiY2XNA0
View at Publisher | View at Google Scholar -
RAMA CHANDRAN (2018) Ebstein’s anomaly-“whipping motion”, January,3 https://youtu.be/apw5g3iqI5c
View at Publisher | View at Google Scholar -
Mann,R.,J.,Lie,J.,T.,(1979) The Life Story of Wilhem Ebstein(1836-1912) And His Almost Overlooked Description of A Congenital Heart Disease, Mayo Clinic Proceedings, 54, 197-204.
View at Publisher | View at Google Scholar -
Ebstein,W.,C.,(1866) On A Very Rare Case Of Insufficiency Of The Tricuspid Valve Caused By A Severe Congenital Malformation Of The Same, Archiv Fur Anatomie Physiologie, Und Wissenschaffiche Medicin Leipzig, 33, 238-254.
View at Publisher | View at Google Scholar -
Arnsten,A.,(1927)Ebstein’s Disease. Virchow’s Archiv A Pathological Anatomy And Histology, 266,247-254.
View at Publisher | View at Google Scholar -
Yater,W.,M.,Shapiro,M.,J.,(1937) Congenital Displacement of Tricuspid Valve (Ebstein’s Disease), Review And Report of Case, Annals of Internal Medicine,11, 1043.
View at Publisher | View at Google Scholar -
Engle,M.,A., Payne,T.,P.,B.,Bruins,C.,Taussig,H.,B.,(1950)Ebstein’s Anomaly of The Tricuspid Valve, Report of Three Cases And Analysis of Clinical Syndrome, Circulation, 1, 1246.
View at Publisher | View at Google Scholar -
Burchell,H.,B., (1979) Editorial. Ebstein’s Disease, Mayo Clinic Proceedings, 54, 205-207.
View at Publisher | View at Google Scholar -
Frescura,C., Angelini,A.,Daliento, L.,Thiene,G.,(2000) Morphologic Aspects of Ebstein’s Anomaly In Adults, Thoracic And Cardiovascular Surgery, 48, 203 -208.
View at Publisher | View at Google Scholar -
Lamers, W.,H.,Viragh,S., Wessels,A.,Moorman,A.,F.,M.,Anderson,R.,H.,(1995) Formation of The Tricuspid Valve In The Human Heart, Circulation, 91, 111-121.
View at Publisher | View at Google Scholar -
Van Mierop,L.,H.,S., Kutsche, L.,M.,Victoria,B.,E.,(1989) Ebstein Anomaly. Moss’ Heart Disease In Infants, Children And Adolescents, 4th Edition, Baltimore, Md: Williams And Wilkins, 361-371
View at Publisher | View at Google Scholar -
Anderson,K.,R.,Zuberbuhler,J.,R., Anderson,R.,H.,Becker,A.,E.,Lie,J.,T.,(1979)Morphologic Spectrum of Ebstein’s Anomaly of The Heart: A Review, Mayo Clinic Proceedings, 54, 174-180.
View at Publisher | View at Google Scholar -
Williams D. Edwards (1993) Embryology And Pathologic Features of Ebstein’s Anomaly, Progress In Pediatric Cardiology, 2(1), 5-15.
View at Publisher | View at Google Scholar -
Donegan,et al {1968} Familial Ebstein’s Anomaly of The Tricuspid Valve, American Heart Journal, 75(3), 375-379
View at Publisher | View at Google Scholar -
Andelfinger,G.,U.,(2017)Molecular Pathways And Animal Models of Ebstein’s Anomaly. Springer International Publishing
View at Publisher | View at Google Scholar -
Benson,D.,W.,Silberbach,G.,M.,KavanaughMcHugh,A.,Cottrill,C.,Zhang,Y.Riggs,S.,Smalls,O.,Johnson,M.,C.,Watson,M.,S.,Seidman,J.,G.,Seidman,C.,E.,Plowden,J.,Kugler,J.,D.,(1999)Mutations In The Cardiac Transcription Factor NKX2.5 Affect Diverse Cardiac Developmental Pathways, Journal of Clinical Investigation, 104, 1567-1573.
View at Publisher | View at Google Scholar -
Yatsenko,S.,A.,Yastsenko,A.,N.,Szigeti,K.,Craigen,W.,J.,Stankiewicz,P.,Cheung,S.,W.,Lupski,J.,R (2004) Interstitial Deletion of 10p And Atrial Septal Defect In DiGeorge 2 Syndrome, Clinical Genetics, 66,128-136.
View at Publisher | View at Google Scholar -
Yang, H., Lee,C.,L.,Young,D.,C.,Shortliffe,M.,Yu,W.,Wright,J.,R., (2004). A Rare Case of Interstitial Del (1)(p34.3p36.11) Diagnosed Prenatally, Fetal And Pediatric pathology, 23,251-255.
View at Publisher | View at Google Scholar -
Correa-Villasenor,A., Ferencz,C.,Neill,C.,A.,Wilson,P.,D.,Boughman,J.,A., (1994)Ebstein’s Malformation of The Tricuspid Valve: Genetic And Environmental Factors. Teratology, 50, 137-147.
View at Publisher | View at Google Scholar -
Cohen,L.,S.,Friedman,J.,M.,Jefferson,J.,W.,Johnson, E.,M.,Weiner,M.,L.,(1994) A Reevaluation of Risk of In Utero Exposure to Lithium, JAMA (Journal of American Medical Association), 271, 146-150.
View at Publisher | View at Google Scholar -
Sipek,A.,(1989)Lithium And Ebstein’s Anomaly, Cor Et Vasa, 31, 149-156
View at Publisher | View at Google Scholar -
Long,W.,A.,Willis,P.,W.,(1984)Maternal Lithium And Neonatal Ebstein’s Anomaly: Evaluation With Cross -Sectional Echocardiography, American Journal of Perinatology, 1, 182-184.
View at Publisher | View at Google Scholar -
Becker,A.,E.,Becker,M.,J., Edwards, J.,E.,(1971)Pathologic Spectrum And Dysplasia of The Tricuspid Valve : Features In Common With Ebstein’s Malformation, Archives of Patholoy, 91, 167-178.
View at Publisher | View at Google Scholar -
Roberson,D.,A., Silverman,N.,H.,(1989)Ebstein’s Anomaly: Echocardiographic And Clinical Features In The Fetus And Neonates, Journal of American College of Cardiology, 14, 1300.
View at Publisher | View at Google Scholar -
Lev, M., Liberthson,R.,R., Joseph,R.,H.,Seten,C.,E.,Kunske,R.,D.,Eckner,F.,A.,O., And Miller,R.,A.,(1970)The Pathologic Anatomy of Ebstein’s Disease, Archives of Patholoy, 90, 334-343.
View at Publisher | View at Google Scholar -
Zuberbuhler,J.,R.,Becker,A.,E.,Anderson,R.,H.,Lenox,C.,C.,)1984)Ebstein’s Malformation And The Embryological Development of The Tricuspid Valve, Pediatric Cardiology, 5,289.
View at Publisher | View at Google Scholar -
Kumar,A.,E.,Fyler,D.,C.,Miettinen,O.,S., And Nadas,A.,S.,(1971)Ebstein’s Anomaly-Clinical Profile And Natural History, American Journal of Cardiology, 28, 84-95.
View at Publisher | View at Google Scholar -
Zuberbuhler, J.,R.,Allwork, S.,P.,And Anderson, R.,H.,(1979)The Spectrum of Ebstein’s Anomaly of The Tricuspid Valve , Journal of Thoracic And Cardiovascular Surgery, 77, 202-211.
View at Publisher | View at Google Scholar -
Hagan, A.,Sahn,D.,J..,And Friedman, W.,F.,(1974)Cross-Sectional Echocardiographic Features of Ebstein’s Malformation, Circulation, 49/50, 111.
View at Publisher | View at Google Scholar -
Silver,M.,D., Lam,J.,H.,C.,Ranganathan, N.,Wigle,E.,D.,(1971)Morphology of The Human Tricuspid Valve, Circulation, 43, 333.
View at Publisher | View at Google Scholar -
Harvey Feigenbaum, William F. Armstrong, Thomas Ryan (2005)Congenital Heart Disease, Feigenbaum’s Echocardiography, 6th Edition, Chapter,18, Page 564.
View at Publisher | View at Google Scholar -
Kambe,T.,Ichimiya,S., Toguchi,M.,Hibi,N.,Fukui,Y.,Nishimura,K.,Sakamoto,N.,And Hojo,Y.,(1980)Apex And Subxiphoid Approaches to Ebstein’s Anomaly Using Cross-Sectional Echocardiography. American Heart Journal, 100, 1, 53-57.
View at Publisher | View at Google Scholar -
Gussenhoven,F.,J.,Stewart,P.,A.,Becker,A.,E.,et al (1984)”Offsetting” of The Septal Tricuspid Leaflet In Normal Hearts And In Hearts With Ebstein’s Anomaly, American Journal of Cardiology, 54, 172.
View at Publisher | View at Google Scholar -
Ammash,N.,M.,Warnes,C.,A.,Connolly,H.,M.,et al (1997)Mimics of Ebstein’s Anomaly, American Heart Journal, 134,508.
View at Publisher | View at Google Scholar -
Shiina, A., Seward, J.,B.,Hagler,D.,J.,Tajik, A.,J.,And Danielson,G.,K.,(1983)Two-Dimensional Echocardiographic - Surgical Correlation In Ebstein’s Anomaly : Preoperative Deteminantion of Patients Requiring Tricuspid Valve Plication Vs Replacement, Circulation, 68, 3, 534-544.
View at Publisher | View at Google Scholar -
Anderson,K.,R., Lie,J.,T.,(1979)Right Ventricular Myocardium In Ebstein’s Anomaly, Mayo Clinic Proceedings, 54, 181.
View at Publisher | View at Google Scholar -
Rusconi,P.,G., Zuberbuhler,J.,R.,Anderson,R.,H.,Rigby,M.,L.,(1991)Morphologic Echocardiographic Correlates of Ebstein’s Malformation, European Heart Journal, 12,784.
View at Publisher | View at Google Scholar -
Daliento,L.,Angelini,A., Ho, S.,Y., Frescura, C.,Turrini,P.,Baratella, M.,C., Thiene,G.,Anderson,R.,H.,(1997)Angiographic And Morphologic Features of The Left Ventricle In Ebstein’s Malformation. American Journal of Cardiology, 80, 1051-1059.
View at Publisher | View at Google Scholar -
Shiini,A.,Seward,J.,B.,Edwards,W.,D.,Hagler,D.,J.,Tajik,A.,J.,(1984)Two-Dimensional Echocardiographic Spectrum of Ebstein’s Anomaly: Detailed Anatomic Assessment, Journal of American College of Cardiology, 3, 356-370.
View at Publisher | View at Google Scholar -
Giuliani,E.,R., Fuster,V.,Brandenberg,R.,O.,(1979)Ebstein’s Anomaly, Mayo Clinic Proceedings, 54, 163.
View at Publisher | View at Google Scholar -
Leung,M.,E.,Barker,E.,J.,Anderson, R.,H.,Zuberbuhler,J.,R.,(1988)Cineangiographic Spectrum of Ebstein’s Malformation: Its Relevance to Clinical Presentation And Outcome, Journal of American College of Cardiology, 11, 154.
View at Publisher | View at Google Scholar -
Dearani,J.,A.,Danielson,G.,K.,(2003) Ebstein’s Anomaly of The Tricuspid Valve, Pediatric Cardiac Surgery, 3rd Edition, 524-536.
View at Publisher | View at Google Scholar -
Celermajer, D.,S., Cullen,S., Sullivan,I.,D.,et al (1992)Outcome In Neonates With Ebstein’s Anomaly, Journal of American College of Cardiology, 19, 1041.
View at Publisher | View at Google Scholar -
Celermajer, D.,S., Bull,C., TaIl,J.,A., Cullen,S., Vassillikos,V.,P.,Sullivan,I.,D., Allan,L., Nihoyannopoulos,P., Somerville,J.,Deanfield,J.,E.,(1994)Ebstein’s Anomaly: Presentation And Outcome From Fetus To Adult, Journal of American College of Cardiology, 23, 170-176.
View at Publisher | View at Google Scholar -
Bennett,M.,R.,Shiu,M.,F.,(1991)Ebstein’s Anomaly Associated With Splenomegaly And Reversible Hypersplenism, British Heart Journal, 65, 223-224.
View at Publisher | View at Google Scholar -
Brickner,M.,E.,Hillis,L.,D.,Lange,R.,A.,(2000)Congenital Heart Disease In Adults: Second of Two Parts. New England Journal of Medicine, 342, 334-342.
View at Publisher | View at Google Scholar -
Dekker,A., Mehrizi,A.,Vengsarkar,A.,S.,(1965)Corrected Transposition of The Great Vessels With Ebstein Malformation of The Left Atrioventricular Valve: An Embryologic Analysis And Two Case Reports. Circulation, 31, 119-126
View at Publisher | View at Google Scholar -
Silverman,N.,H.,Gerlis,L.,M.,Horowitz,E.,S.,Ho,S.,Y.,Neches,W.,H.,Anderson,R.,H.,(1995)Pathologic Elucidation of The Echocardiographic Features of Ebstein’s Malformation of The Morphologically Tricuspid Valve In Discordant Atrioventricular Connections, American Journal of Cardiology, 76, 1277-1283.
View at Publisher | View at Google Scholar -
Freedom,R.,M.,(2002)Discordant Atrioventricular Connection And Congenitally Corrected Transposition, Pediatric Cardiology, 2nd Edition, 1321-1335.
View at Publisher | View at Google Scholar -
Gerlis,L.,M.,Wilson,N.,Dickinson,D.,F.,(1986)Abnormalities of The Mitral Valve In Congenitally Corrected Transposition (Discordant Atrioventricular And Ventriculoarterial Connection), British Heart Journal, 55, 475.
View at Publisher | View at Google Scholar -
Caruso,G.,Gifarelli,A., Balducci,G.,Facilone,F.,(1987) Ebstein’s Malformation of The Mitral Valve In Atrioventricular And Ventriculo Arterial Concordance, Pediatric Cardiology, 8, 209-210
View at Publisher | View at Google Scholar -
Rauschhaupt,D.,G.,Bharati, S.,Lev,M.,(1976)Mitral Valve Malformation of Ebstein Type In Absence of Corrected Transposition, American Journal of Cardiology, 38, 109-112.
View at Publisher | View at Google Scholar -
Jose Luiz Balthazar Jacob, Luis Carlos Da Silveira, And Domingo Marcolino Braile (1991)Echocardiographic And Angiographic Diagnosis of Ebstein’s Anomaly of The Mitral Valve, British Heart Journal, 66(5), 379-380.
View at Publisher | View at Google Scholar -
Leung,M., Rigby,M.,L.,Anderson,R.,H.,Wyse,R.,K.,H.,Macartney,F.,J.,(1987)Reversed Offsetting of The Septal Attachments of The Atrioventricular Valves And Ebstein’s Malformation of The Morphologically Mitral Valve, British Heart Journal, 57, 184-187.
View at Publisher | View at Google Scholar -
Ferreira,S.,M.,Ebaid,M., Aiello,V.,D.,(1991)Ebstein’s Malformation of The Tricuspid And Mitral Valves Associated With Hypoplasia of The Ascending Aorta, International Journal of Cardiology, 33, 170-172.
View at Publisher | View at Google Scholar -
Dusmet,M., Oberhaenski,I., Cox,J.,N.,(1987)Ebstein’s Anomaly of The Tricuspid And Mitral Valves In An Otherwise Normal Heart, British Heart Journal, 58, 400-404
View at Publisher | View at Google Scholar -
Xu,F., Zhou,J.,Z.,(2015)Ebstein’s Anomaly With Refractory Right-Side Heart Failure And Leg Ulcers, Journal of Vascular Medicine And Surgery, 3,177.
View at Publisher | View at Google Scholar -
Obio-Ngwa,O.,Milliez,P.,Richardson,A.,et al (2001) Ventricular Tachycardia In Ebstein’s Anomaly, Circulation, 104,92.
View at Publisher | View at Google Scholar -
Lo.,H.,Lin,F.,Jong,Y.,et al (1989)Ebstein’s Anomaly With Ventricular Tachycardia. Evidence For The Arrhythmogenic Role of The Atrialized Ventricle, American Heart Journal, 117,959.
View at Publisher | View at Google Scholar -
Bialostozky,D., Horwitz,S.,Espino-Vela,J.,(1972)Ebstein’s Malformation of The Tricuspid Valve: A Review of 65 Cases, American Journal of Cardiology, 29, 826-836.
View at Publisher | View at Google Scholar -
Ho,S.,Y.,Goltz,D.,McCarthy,K.,Cook,A.,C.,Connell,M.,G.,Smith,A.,et al (2000) The Atrioventricular Junction In Ebstein Malformation, Heart, 444-449.
View at Publisher | View at Google Scholar -
Khositseth,A.,Danielson,G.,K.,Dearani,J.,A.,Munger,T.,M.,Porter,C.,J.,(2004)Supraventricular Tachyarrhythmias In Ebstein Anomaly : Management And Outcome, Journal of Thoracic And Cardiovascular Surgery, 128, 826-833.
View at Publisher | View at Google Scholar -
Greason,K.,L.,Dearani,J.,A.,Theodoro,D.,A.,Porter,C.,B.,Warnes,C.,A.,Danielson,G.,K.,(2003)Surgical Management of Atrial Tachyarrhythmias Associated With Congenital Cardiac Anomalies. Mayo Clinic Experience. Seminars In Thoracic And Cardiovascular Surgery: Pediatric Cardiac Surgery Annual, 6, 59-71
View at Publisher | View at Google Scholar -
Danielson,G.,K.,Driscoll,D.,J.,Mair,D.,D.,et al (1992) Operative Treatment of Ebstein’s Anomaly, Journal of Thoracic And Cardiovascular Surgery, 104, 1195-1202.
View at Publisher | View at Google Scholar -
Kugler,J.,D.,Gillette,P.,C.,Duff, D.,F.,et al (1978)Elective Mapping And Surgical Division of The Bundle of Kent In A Patient With Ebstein’s Anomaly Who Required Tricuspid Valve Replacement, American Journal of Cardiology, 41, 602-605.
View at Publisher | View at Google Scholar -
Cappato,R., Hebe,J.,Weib,C., et al (1993)Radiofrequency Current Ablation of Accessory Pathways In Ebstein’s Anomaly, Journal of American College of Cardiology, 21(Suppl A): 172 A.
View at Publisher | View at Google Scholar -
Allen,M.,R.,Hayes,D.,L.,Warnes,C.,A.,Danielson,G.,K.,(1997)Permanent Pacing In Ebstein’s Anomaly, Pacing And Clinical Electophysiology, 20, 1243-1246.
View at Publisher | View at Google Scholar -
Schiebler,G.,L.,Adam,P.,Jr Anderson,R.,C.,Amplatz,K., Lester,R.,G.,(1959) Clinical Study of Twenty-Three Cases of Ebstein’s Anomaly of The Tricuspid Valve, Circulation, 19, 165-187.
View at Publisher | View at Google Scholar -
Dearani,J.,A.,Danielson,G.,K.,(2003) Tricuspid Valve Repair For Ebstein’s Anomaly, Operative Techniques In Thoracic And Cardiovascular Surgery, 8, 188-192.
View at Publisher | View at Google Scholar -
Danielson,
View at Publisher | View at Google Scholar -
Edwards, W.,D.,(1989) Congenital Heart Disease, 281-367.
View at Publisher | View at Google Scholar -
Barnard,C.,N.,Schrire,V.,(1963) Surgical Correction of Ebstein’s Malformation With Prosthetic Tricuspid Valve, Surgery, 54,302-308.
View at Publisher | View at Google Scholar -
Ullman,M.,V.,Born,S.,Sebening,C.,Gorenflo,M., Ulmer,H.,E.,Hagl,S.,(2004)Ventricularization of The Atrialized Chamber: A Concept of Ebstein’s Anomaly Repair: Annals of Thoracic Surgery, 78, 918-924.
View at Publisher | View at Google Scholar -
Dearani,J.,A., Bacha,E., Da Silva,J.,P.,(2008)Cone Reconstruction of The Tricuspid Valve For Ebstein’s Anomaly: Anatomic Repair: Operative Techniques In Thoracic And Cardiovascular Surgery,13,109-112.
View at Publisher | View at Google Scholar -
Emani,S.,M.,Del Nido,P.,(2015)Ebstein’s Malformation of The Tricuspid Valve In Children, Mastery of Cardiothoracic Surgery, 3rd Edition, 1098-1104.
View at Publisher | View at Google Scholar -
Starnes,V.,A.,Pitlick,P.,T.,Bernstein,D.,Griffin,M.,L.,Choy,M.,Shumway,N.,E.,(1991)Ebstein’s Anomaly Appearing In The Neonate: A New Surgical Approach, Journal of Thoracic And Cardiovascular Surgery,101, 1082-1087.
View at Publisher | View at Google Scholar -
Chauvaud,S.,(2004) Repair of Ebstein’s Anomaly, Operative Techniques In Thoracic And Cardiovascular Surgery, 9, 194-207.
View at Publisher | View at Google Scholar -
Carpentier,A.,Chauvaud,S., Mace,L.,Relland,J., Mihaileanu,S., Marino,J.,P.,Abry,B., Guibourt,P.,(1988) A New Reconstructive Operation For Ebstein’s Anomaly of The Tricuspid Valve, Journal of Thoracic And Cardiovascular Surgery, 96, 92-101.
View at Publisher | View at Google Scholar -
Celermajer,D.,S.,Bull,C.,Till,J.,A., et al (1994)Ebstein’s Anomaly: Presentation And Outcome From Fetus to Adult, Journal of American College of Cardiology, 23, 170.
View at Publisher | View at Google Scholar -
Quaegebeur,J.,M.,Sreeram,N.,Fraser,A.,G.,et al (1991)Surgery For Ebstein’s Anomaly: The Clinical And Echocardiographic Evaluation of A New Technique, Journal of American College of Cardiology, 17, 722-728.
View at Publisher | View at Google Scholar -
Donnelly,J.,E.,Brown,J.,M.,Radford,D.,J.,(1991)Pregnancy Outcome And Ebstein’s Anomaly, British Heart Journal, 66, 368-371.
View at Publisher | View at Google Scholar -
Cabin,H.,S.,Wood,T.,P.,Smith,J.,O.,Robertts,W.,C.,(1981)Ebstein’s Anomaly In The Elderly, Chest, 80,212.
View at Publisher | View at Google Scholar -
Seward,J.,B.,Tajik,A.,J.,Feist,D.,J.,Smith,H.,C.,(1979)Ebstein’s Anomaly In An 85-Year Old Man, Mayo Clinic Proceedings, 54,193.
View at Publisher | View at Google Scholar -
Van Son,J.,A.,Konstantinov,I.,E., Zimmerman,V.,(2001)Wilhem Ebstein And Ebstein’s Malformation, European Journal of Cardiothoracic Surgery, 20,1082.
View at Publisher | View at Google Scholar -
Irving L. Kron, Mark Elliot Roeser (2017) Management of Ebstein’s Anomaly, Annals of Cardiothoracic Surgery, 6(3),266-269
View at Publisher | View at Google Scholar